본문 바로가기
이재신 치과 소개
원장님 인사말
진료안내
치과 둘러보기
오시는길
이재신 임플란트
무치악 임플란트
뼈 이식 임플란트
재수술 임플란트
상악동 거상술
라미네이트
올세라믹
치아미백
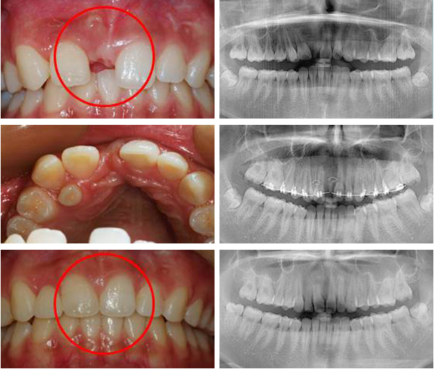
치아교정
충치치료
신경치료
치주질환
스케일링
사랑니
공지사항
심미보철
라미네이트
올세라믹
치아미백
치아교정
홈
>
심미보철
>
치아교정